I vantaggi delle terapie mini-invasive per le malattie del piede

Il dottor Guido Carbone è un medico chirurgo ortopedico specializzato in queste pratiche innovative: si può intervenire su alluce valgo, dito a martello e altre metatarsalgie

I vantaggi delle terapie mini-invasive per le malattie del piede

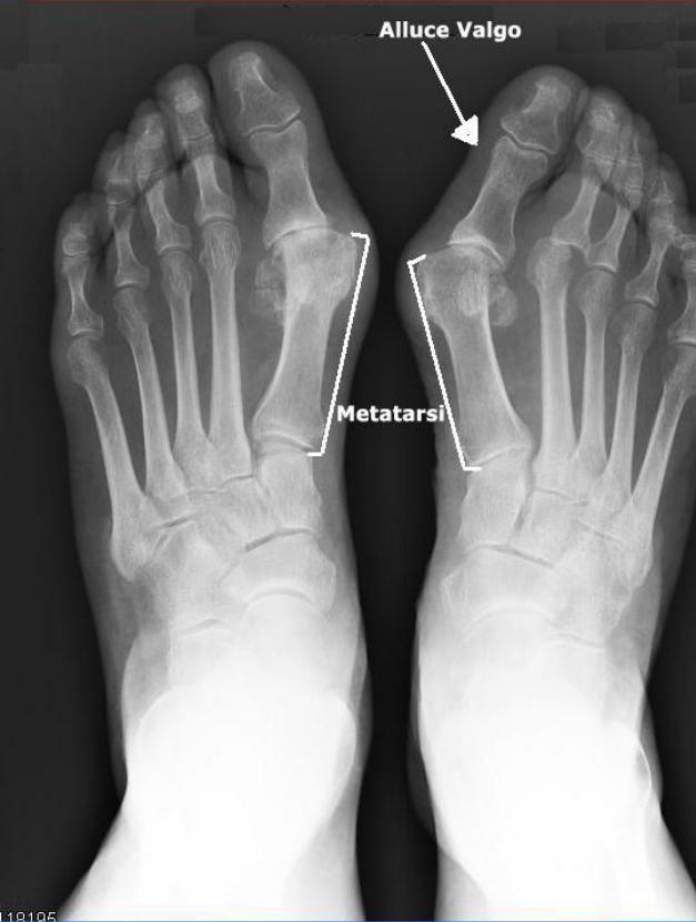
Quali sono i vantaggi delle terapie mini-invasive per le malattie del piede? A spiegarci la loro applicazione è il dottor Guido Carbone (contattabile al 393.3278751 o al 335.6635217), medico chirurgo ortopedico specializzato in queste innovative pratiche. Sì, perché per alluce valgo, dito a martello e per le più diffuse metatarsalgie i metodi conservativi non bastano più: possono essere curati con successo grazie a nuove metodiche. Il dottor Carbone lavora alla clinica Sant’Anna di Brescia e ha scelto dedicare particolare impegno e attenzione alle problematiche del piede e dell’avanpiede. Maggiori informazioni sono disponibili sul sito del Dottor Carbone.

I vantaggi delle terapie mini-invasive

“Da quando in ortopedia è stata introdotta la nuova metodica percutanea mini-invasiva, una volta riscontrati sul campo i vantaggi che da essa derivano, ho deciso di approfondirla con la massima applicazione per tentare di risolvere nel modo più efficace possibile alcuni dei disturbi più diffusi tra i pazienti” ha detto lo specialista.

Sono efficaci solo per l’alluce valgo?

«Per la cura dell’alluce valgo queste tecniche sono straordinariamente efficaci, ma ci sono anche tante altre patologie dell’avanpiede che possono essere risolte attraverso di esse. Il chirurgo però deciderà volta per volta, perché le tecniche mini-invasive possono essere utilizzate con profitto solo in situazioni selezionate. Tra le altre patologie su cui questi metodi operativi sono efficaci ci sono le dita a martello e le metatarsalgie più ricorrenti».

Quali sono i benefici derivanti dalle metodiche mini-invasive?

«La ripresa funzionale post-intervento è migliore e il danno ai tessuti intorno all’osso senz’altro ridotto rispetto alle tecniche tradizionali. Le incisioni sono praticamente invisibili: questo fa sì che la valenza estetica, rispetto al passato, sia straordinaria. Grazie alle nuove tecniche si ottengono buone correzioni delle deformità riducendo i tempi di recupero funzionale, attenuando il dolore post-operatorio e tornando a camminare il giorno stesso dell’intervento. Il recupero completo della funzionalità del piede svolgendo le proprie attività avviene in tempi più rapidi rispetto alle operazioni eseguite con tecniche tradizionali».

 

Informazione Pubblicitaria